智慧赋能
intelligence empowers more
S60
彩色多普勒超声诊断系统
彩色多普勒超声诊断系统

广告
还原图像
成像功能
性能优异的硬件架构,极大提升超声系统的运行效率和数据处理能力。相比以往超声成像系统,Wis+平台为您带来极快的响应速度和成像帧频,提升检查流畅度。
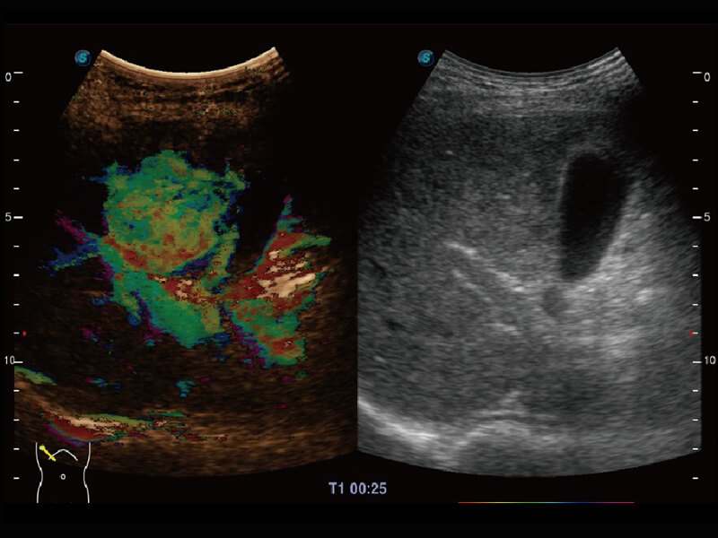
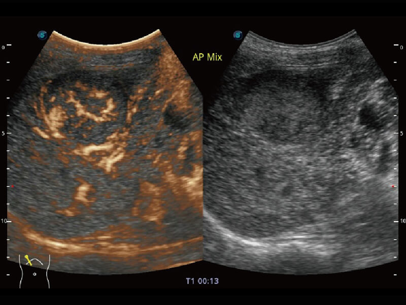
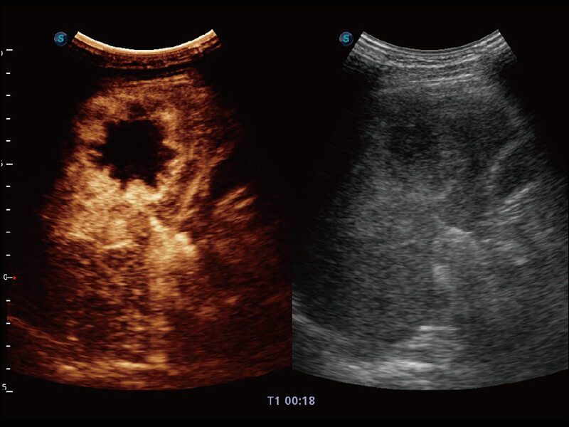
S60探头工艺,从前端信号处理每一个环节采集无损声学数据,真实还原组织原貌,再现解剖细节。
操作时间
准确率
按键操作
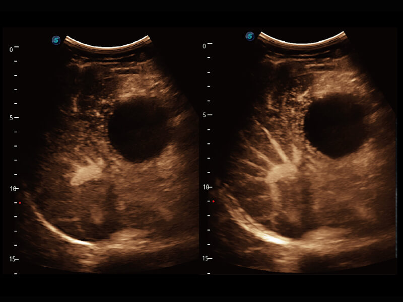
超宽频带技术,为容积成像带来优质的二维图像基础,为您呈现丰富的结构细节,栩栩如生地展示宝宝的宫内形态以及各种组织的立体结构。
S60将从人机工程设计、界面布局、工作流、操控性等方方面面为您带来亲近、友好、便捷的操作体验,竭尽所能简化您的工作流程。
完善的远程应用方案,随时随地满足您远程会诊、教学、质控、会议等互联互通需求。
禁忌内容或者注意事项详见说明书

微信公众号
0188-22223333
400-800-8820
版权所有 @乐玩lewin国际 苏ICP备20008866
互联网电子信息服务资格证书[(苏)-非经营性-2002-0888