乐玩lewin国际通过不断的技术创新,为大众的生命健康提供持续关爱。P12 Plus采用全新一代超声成像平台,新平台旨在将真实还原组织解剖结构作为首要目标。平台采用全新集成化硬件模块,搭载新一代芯片,系统性能得到大幅提升,为您的诊断提供了丰富的临床信息。优异的图像表现,丰富的探头配置,全面的应用功能,为您日常诊断提供了可靠的助手。
智影赋能基层诊疗
P12 Plus
彩色多普勒超声诊断系统
广告
彩色多普勒超声诊断系统
广告
乐玩lewin国际通过不断的技术创新,为大众的生命健康提供持续关爱。P12 Plus采用全新一代超声成像平台,新平台旨在将真实还原组织解剖结构作为首要目标。平台采用全新集成化硬件模块,搭载新一代芯片,系统性能得到大幅提升,为您的诊断提供了丰富的临床信息。优异的图像表现,丰富的探头配置,全面的应用功能,为您日常诊断提供了可靠的助手。
单晶体凸阵探头
腔内探头
复合材料线阵探头
容积探头
相控阵探头
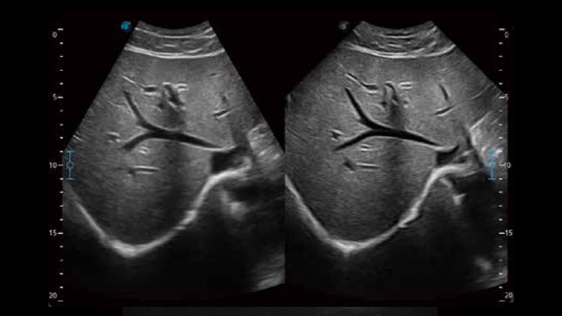
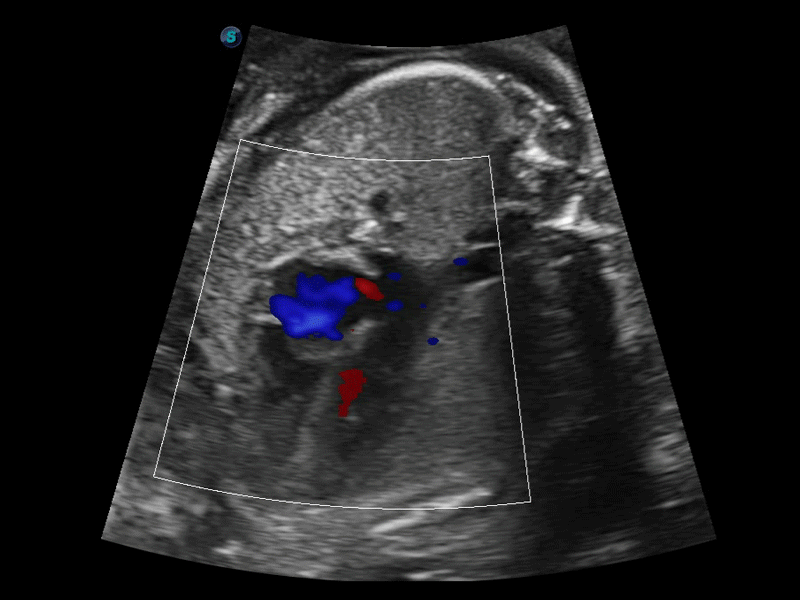
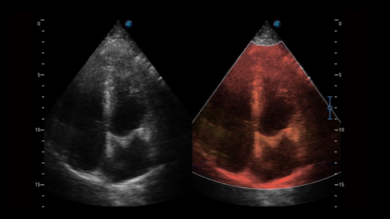
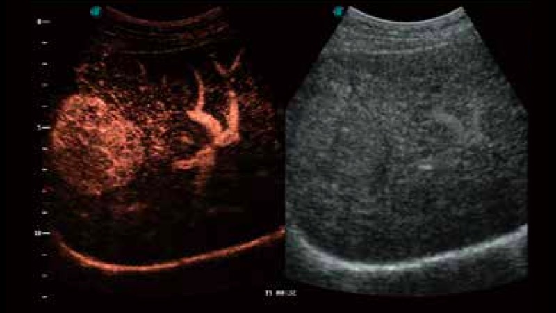
凭借乐玩lewin国际先进的成像技术和优异的探头技术提供的清晰的图像表现,您可以更自信地做出临床决策。
21.5英寸显示器(支持23.8英寸)
高度可调和可旋转控制面板
大尺寸触摸屏
可拆卸大容量电池
可调温耦合剂加热器
隐藏式抽拉键盘
教学软件可为您提供操作手法示意图、解剖结构示意图、标准超声图像示例,帮助您快速掌握超声检查标准切面。
可实现移动端设备与机器的无线连接,实现超声图片无线传输以及实时检查屏幕共享,促进医患交流。
主机内置远程会诊功能,一键开启,即刻享受优质服务。
禁忌内容或者注意事项详见说明书

微信公众号
0188-22223333
400-800-8820
版权所有 @乐玩lewin国际 苏ICP备20008866
互联网电子信息服务资格证书[(苏)-非经营性-2002-0888